أنت غير مسجل في منتدى الخليج . للتسجيل الرجاء إضغط هنـا
ضع أميلك وأضغط على إشتراك لكي يصلك كل ماهو جديد المنتدى :
آخر 10 مشاركات
علاج الدوالي و علاج دوالى الساقين نهائيا (الكاتـب : - آخر مشاركة : - مشاركات : 2 - )           »          همسات متجدد باذن الله (الكاتـب : - مشاركات : 105 - )           »          كريب حلو (الكاتـب : - آخر مشاركة : - مشاركات : 3 - )           »          شوربة خضار (الكاتـب : - آخر مشاركة : - مشاركات : 3 - )           »          كيكة الموز (الكاتـب : - آخر مشاركة : - مشاركات : 3 - )           »          طريقة عمل الدقوس (الكاتـب : - آخر مشاركة : - مشاركات : 3 - )           »          شوربة البروكلي (الكاتـب : - آخر مشاركة : - مشاركات : 3 - )           »          سلطه مكرونه (الكاتـب : - آخر مشاركة : - مشاركات : 3 - )           »          تتبيلة الدجاج المشوي (الكاتـب : - آخر مشاركة : - مشاركات : 4 - )           »          طريقة عمل الدونات (الكاتـب : - آخر مشاركة : - مشاركات : 3 - )


الإهداءات


العودة   منتدى الخليج >
التسجيل المنتديات موضوع جديد التعليمـــات التقويم

مرض ليج كالف بيرث

السلام عليكم ورحمة الله وبركاته مرض ليج - كالف - بيرث Legg-Calve-Perthes Disease في بداية القرن العشرين وعندما بداء العالم باستخدام الاشعه السينية في تشخيص وعلاج امراض

 
 
أدوات الموضوع انواع عرض الموضوع
قديممنذ /06-08-2010, 04:25 AM
  #1

 
الصورة الرمزية نوف

نوف غير متواجد حالياً

 
 رقم العضوية : 1006
 تاريخ التسجيل : Jan 2009
 الجنس : أنثى
 الدولة : Kuwait
 مجموع المشاركات : 188,154
 النقاط : نوف has a reputation beyond reputeنوف has a reputation beyond reputeنوف has a reputation beyond reputeنوف has a reputation beyond reputeنوف has a reputation beyond reputeنوف has a reputation beyond reputeنوف has a reputation beyond reputeنوف has a reputation beyond reputeنوف has a reputation beyond reputeنوف has a reputation beyond reputeنوف has a reputation beyond repute
 تقييم المستوى : 49409
 قوة التقييم : 42571
( اللــهم . . ارزقهم أضعاف مايتمنونه لي )
قـائـمـة الأوسـمـة


 

 

 

 

 
السلام عليكم ورحمة الله وبركاته

1412167414319391254.gif

مرض ليج - كالف - بيرث
Legg-Calve-Perthes Disease
في بداية القرن العشرين وعندما بداء العالم باستخدام الاشعه السينية في تشخيص وعلاج امراض العظام وصف كلا من د.ليج في بوستن - د. بيرثيز في المانيا - د. كالف في فرنسا وجود تنخر رأس عظمة الفخد في سن ما بين ثلاث سنوات والثانية عشرة من العمر ولم تعرف لها اية اسباب ؟؟
عليه تم تسمية هدا المرض على هولاء الاطباء وهو مصطلح يعرف حالة تنخر أو تشوه رأس عظمة الفخذ في سن الطفولة وهي حالة لا يعرف أسبابها ويجب علاجها لتفادي مضاعفاتها مثل تشوه رأس عظمة الفخذ ونشؤ زوائد عظمية وتأكل وتيبس بمفصل الورك ونشؤ عرج وقصر الطرف السفلي المصاب .

Legg-Calve-Perthes_Disease (1).gif
o غالبا ما يصاب طفل واحد من 1200 طفل تحت سن 15 سنة.
o مرض بيرثيز يتوقف تلقائياً بعد فترة زمنية لو ترك بدون علاج .
o مرض بيرثيز ليس له نتائج ثابتة أي إن أية مضاعفات قد تحدث أو لا تحدث ؟؟
o بعض السلالات مثل القوقازية معرضة للإصابة بمرض بيرثيز أكثر من السلالات الأخرى.
o يصاب الأطفال الذكور بنسبة 5 حالات أكثر من الإناث ولكن الاصابة تكون اشد عند الانات.
o تصاب الفيئه العمرية مابين 3-12 سنة وأكثر الحالات تكون في سن 7 سنوات.

Legg-Calve-Perthes_Disease (2).gif

الاعراض المرضية - تاريخ المرض History
o وجع شديد بمفصل الورك وأحيانا يحس الوجع على الفخذ.
o أحيانا يكون الوجع بسيط ومتقطع على الفخذ من الأمام أو على الركبة .
o تكون المشية بعرج .
o غالبا لا يكون هناك ما يشير لوقوع حوادث أو سقوط .

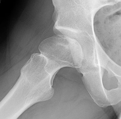
Legg-Calve-Perthes_Disease (3).jpg
الكشف السريري Physical finding
- نقص في مجال حركة مفصل الورك .
- عرج مؤلم .
- في الحالات المتأخرة تكون عضلات الفخذ ضامرة .
تكون عضلات الفخذ وخاصة حول الورك في حالة تقلص . -
- قد يكون هناك نقص في طول الطرف السفلي ناتج عن انضغاط رأس عظمة الفخذ.
- في حالة إصابة كلا الوركين يكون هناك قصر بالقامة .

الأسباب Causes
o نقص أو انقطاع التغدية عن طريق الدورة الدموية .
o موت الخلايا العظمية خاصة في الطبقة تحت الطبقة الغضروفية برأس عظمة الفخذ.مع استمرار نمؤ الخلايا الغضروفية لأنها تتغذى من السائل السينوفي بالمفصل .
o نمؤ شعيرات دموية جديدة وبالتالي أحياء بعض الخلايا العظمية .
o في هده الفترة تتضح صورة مرض بيرثيز في بعض الحالات بينما البعض الأخر يمثل للشفاء .
o يبداء المريض بالإحساس بالوجع نتيجة حدوث كسور مجهريه برأس عظمة الفخذ نتيجة للنشاط الطبيعي ووزن الجسم وليس بسبب الحوادث أو غيرها .
o بسبب هشاشة رأس عظمة الفخد يتغير شكل رأس عظمة الفخذ وتبدو صور الاشعه واضحة .
Legg-Calve-Perthes_Disease (5).jpg
الأمراض المشابهه D.Dx.
1- فقر الدم ألمنجلي.
2- مرض الروماتويد.
3- كسور وحوادث الحوض.
4- العرج الناتج من بعض الأمراض الأخرى .
5- مرض السل .
6- التهاب المفصل الجرثومي.
7- التهاب الورك السينوفي.
8- الليمفوما .
9- بعض الأمراض الوراثية الأخرى.
10- انزلاق مركز نمؤ رأس عظمة الفخذ.

الاختبارات المعملية:
o اختبار كامل للدم .- -
o عامل ترسيب الدم قد يكون عالي في حالة وجود التهاب جرثومي .
o صور الاشعه تكون واضحة في هده الحالة .
o صور الاشعه في وضع ساقي الضفدعة تكون مفيدة للتشخيص .
o بناء على مكان ونسبة وجود تكلسات بمركز نمؤ رأس عظمة الفخذ تكونت عدة تقسيمات أكاديمية :
- 1-توقف نمؤ رأس عظمة الفخذ وصغر حجمه.
-2- كسور دقيقة تحت الطبقة الغضروفية للرأس.
-3- تنخر العظم بالرأس.
-4- تكون عظم جديد وتكلس هده التجمعات الجديدة للعظم .
-5- أخيرا مرحلة الشفاء .
- صور العظم بالمواد المشعة تبين حدود الانسداد بالدورة الدموية برأس العظم .

Legg-Calve-Perthes_Disease (4).jpg

العلاج :
أهداف العلاج:
- الحصول على مجال حركة طبيعي والمحافظة عليه .
- التخلص من تأثير وزن الجسم على الورك المصاب .
- وضع رأس عظمة الفخذ بالحرقفة .
- وضع برنامج شد الطرف السفلي .
- معظم حالات بيرثيز الجديدة لا يلزمها إيواء بالمستشفيات,
- ينصح لها ببعض المسكنات والمتابعة .
- بعض الحالات تستوجب الراحة السريرية التامة ووضع الطرف المصاب في وضع تباعد عن الطرف الأخر.
- وضع رأس عظمة الفخذ بالحرقفة يستوجب وضع الطفل في الجبس أو في جهاز تقويم للمحافظة على الوضعية .
- المتابعة الدقيقة وملاحظة نسبة نخر العظم تحدد طريقة العلاج .
- في حالة الوصول إلي حالة الشفاء وتوقف تقدم النخر يمكن المتابعة كل ستة أشهر .
- يجب المتابعة لعدة سنوات لتفادي تكون تشوهات بمفصل الورك .
- في حالة زيادة نسبة نخر العظم أو تكون التشوهات بعظمتي الورك فان الجراحة هي السبيل الوحيد للعلاج.

المضاعفات:
- مرض بيرثيز قد يسبب تشوهات رأس عظمة الفخذ وبالتالي قصر الطرف السفلي بسبب انضغاط رأس عظمة الفخذ وبعد فترة زمنية تتكون زوائد عظمية وتأكل الغضروف بالحرقفة .

العلاج الجراحي :
- VARUS DEROTATION OSTEOTOMY
-,,,,FING PROCEDURES
-TRANSCERVICAL DRILLING AND BONE GRAFTING
-PELVIC OSTEOTOMY
-CHEILECTOMY
-LATERIZATION OF GREATER TROCHANTER

Legg-Calve-Perthes_Disease.jpg
ترجمة واعداد :د.ناصرحبارات






 

 

 

 

 

 

 

 

 




 
 

تعليمات المشاركة
لا تستطيع إضافة مواضيع جديدة
لا تستطيع الرد على المواضيع
لا تستطيع إرفاق ملفات
لا تستطيع تعديل مشاركاتك

BB code is متاحة
كود [IMG] متاحة
كود HTML معطلة

الانتقال السريع


 


جميع الحقوق محفوظة لـ منتدى الخليج - © Kleej.com

( 2007 - 2025 )

{vb:raw cronimage}

جميع المشاركات المكتوبة تعبّر عن وجهة نظر العضو نفسه ولا تعبّر بأي شكل من الأشكال عن وجهة نظر إدارة المنتدى